最近我发现了一个让人头疼的小问题,那就是吃白瓜牙龈疼。这可真是让人郁闷啊!夏天到了,白瓜成了餐桌上的常客,可是每次吃白瓜的时候,牙龈都疼得要命。这究竟是怎么回事呢?今天,我就来跟你好好聊聊这个话题。
白瓜的诱惑

白瓜,又称西葫芦,是一种常见的蔬菜。它口感脆嫩,水分充足,富含多种维生素和矿物质,是夏日消暑的好选择。对于一些朋友来说,吃白瓜却成了噩梦。
牙龈疼的原因

那么,为什么吃白瓜会牙龈疼呢?经过一番调查,我发现主要有以下几个原因:
1. 过敏反应:有些人对白瓜中的某些成分过敏,导致牙龈疼痛。这种情况下,停止食用白瓜,症状就会逐渐消失。
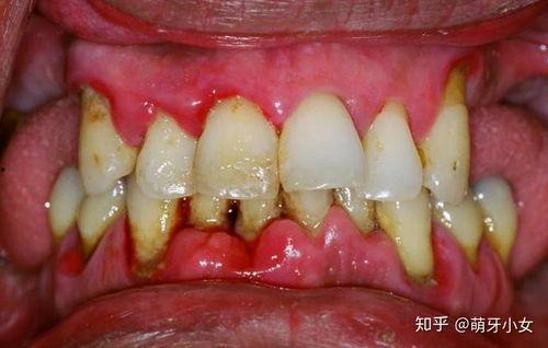
2. 口腔卫生问题:如果口腔卫生状况不佳,食物残渣容易在牙龈上积累,导致牙龈炎症,从而引起疼痛。吃白瓜时,如果口腔内有食物残渣,牙龈疼痛的可能性会更大。
3. 白瓜的酸性:白瓜中含有一定量的酸性物质,如果食用过多,可能会刺激牙龈,导致疼痛。
应对方法

既然知道了原因,那么如何应对吃白瓜牙龈疼的问题呢?
1. 注意口腔卫生:在吃白瓜之前,先刷牙或漱口,确保口腔内没有食物残渣。
2. 适量食用:白瓜虽然美味,但也要适量食用。如果牙龈疼痛严重,可以暂时停止食用。
3. 选择合适的时间:在饭后或饭前吃白瓜,可以减少对牙龈的刺激。
4. 使用口腔护理产品:选择适合自己的口腔护理产品,如牙膏、漱口水等,帮助缓解牙龈疼痛。
白瓜的替代品
如果你对白瓜过敏或牙龈疼痛严重,不妨尝试以下几种蔬菜:
1. 黄瓜:黄瓜口感脆嫩,水分充足,富含维生素和矿物质,是夏日消暑的好选择。
2. 苦瓜:苦瓜具有清热解毒、降火的功效,适合夏天食用。
3. 西红柿:西红柿富含维生素C和番茄红素,具有抗氧化作用,对牙龈有一定的保护作用。
吃白瓜牙龈疼虽然让人头疼,但只要我们了解原因,采取相应的措施,就能轻松应对。夏天到了,让我们一起享受美食,度过一个愉快的夏天吧!